Что будет если медитировать 2 месяца подряд? — Hi-News.ru

Сегодня медитации воспринимаются людьми чуть ли не как панацея от всех проблем: тревожности, стресса, апатии и даже болезней. Когда именно эта практика вошла в моду, сказать трудно — скорее всего, популярность возросла после появления книг и фильмов, где рассказывается о ее удивительных свойствах. Ученые давно занимаются изучением влияния медитаций на человеческий организм и каждый раз приходят к разным мнениям. Например, в 2017 году исследователи пришли к выводу, что польза так называемой «осознанной медитации» является обыкновенным мифом. В том же году американские ученые выяснили, что регулярная медитация на протяжении двух месяцев значительно ускоряет работу головного мозга. Если медитировать примерно 5 дней в неделю, со временем у человека улучшается умственная гибкость, которая особенно ценится жителями Тибета.

Медитация способна повысить продуктивность человека и этому теперь есть научные доказательства

Что такое медитация?

Если говорить в общих чертах, медитация является рядом психических упражнений, при которой человек отрешенно наблюдает за своими ощущениями. Эта практика изначально была сугубо религиозной и только потом приобрела массовый характер. Согласно традициям, во время медитации человек не должен делать над собой никаких усилий и просто полностью расслабиться. При этом важно позволять любым событиям случаться и просто наблюдать за этим без какой-либо оценки.

Также для обучения медитации можно записаться на специальные курсы, которых очень много

Вкратце про то, как правильно медитировать, я рассказывал в этом материале. Как правило, сначала новичкам предлагается просто занять удобное положение, закрыть глаза и спокойно наблюдать за своим дыханием. При этом рекомендуется постепенно расслаблять тело, начиная от мышц лица, продолжая плечами и заканчивая ногами. Чтобы быстро освоить практику медитации, можно пользоваться приложениями или видеороликами на YouTube. Из приложений на ум приходит бесплатный Insight Timer, но если вы знаете что-то получше — пишите в комментариях.

Польза медитации

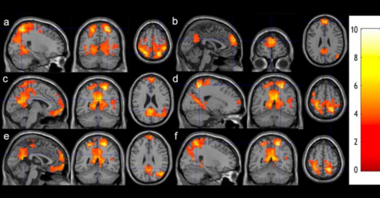
Некоторые ученые считают медитации неэффективными, а другие уверяют в обратном и даже предоставляют научные доказательства. Однажды американские ученые Вэйин Дай (Weiying Dai) и Джордж Вайншенк (George Weinschenk) собрали группу из десяти студентов и сделали МРТ-снимки их головного мозга. После этого они попросили их медитировать хотя бы по 10-15 минут, 5 раз в неделю на протяжении примерно двух месяцев. При этом добровольцы должны были вести дневник со своими ощущениями и время от времени ходить на компьютерную томографию мозга.

Результаты сканирования мозга студентов

Результаты проведенной научной работы были опубликованы в научном журнале Scientific Reports. После завершения эксперимента ученые обнаружили, что после регулярной медитации у студентов улучшилась связь между двумя нейронными сетями, которые играют большую роль в мышлении. Первая называется сеть пассивного режима работы мозга (СПРРМ) и поддерживает сознание, когда человек ничем не занят и просто отдыхает. Вторая именуется как дорсальная сеть внимания (ДСВ) и включается, когда человеку нужно решать сложные задачи. В идеале, мозг должен быстро переключаться между этими сетями, потому что в этом случае человек оказывается максимально продуктивным. Но у многих людей переключение занимает много времени — человек с трудом переходит с режима «мечтаний» в рабочее состояние. Если говорить очень коротко, многим людям тяжело концентрироваться.

СПРРМ и ДСВ были открыты учеными относительно недавно

По словам Джорджа Вайншенка, у тибетцев способность способность быстро переключаться между этими двумя состояниями называется умственной гибкостью. Эксперимент доказал, что регулярная медитация может помочь людям выработать эту особенность мышления и повысить продуктивность. Стоит отметить, что упомянутый выше Джордж Вайншенк и сам практикует медитацию, причем он учился этой практике у буддистов. В свою очередь Вэйин Дай является экспертом по картографированию головного мозга людей.

На нашем сайте довольно много статей о пользе и вреде медитации. Если вам интересна эта тема, рекомендую еще одну статью от моей коллеги Любви Соковиковой. Вот ссылка.

Источник: Новости высоких технологий



Самые актуальные новости - в Telegram-канале

Читайте также

Вверх